パイオキュアーユーザーボイス
小児期からの矯正治療とパイオキュアーを使用した
カリエスフリーの多くの症例について
みなもと歯科医院
院長 源 伸夫 先生
この度は23年間の「パイオキュアー」を使用することによる矯正治療(主に咬合誘導)患者のう触抑制効果について報告する機会を与えて戴いたことに感謝致します。
当医院は昭和62年に開院し、当初はカリエス治療を主訴とした小児患者さんに二次カリエス予防と、永久歯列のカリエスフリーを目的として「ナルコーム・2%フッ化ナトリウム液ネオ」を「ナルコーム・イオントレー」にて、上下顎5分ずつ計10分のフッ化物イオン導入法によるフッ素塗布を3ヶ月間隔で行ってきました。
その後、矯正治療においてリンガルアーチ、クワードヘリックス、マルチブラケット等口腔内に固定式矯正装置を装着する症例が多くなり、う触発生もこれに伴い多くなることが予測された為、来院時装置調整と共にPMTCを行い、唾液PH測定結果により1~3ヶ月間隔のフッ化物イオン導入法をどうてき期間の患者さんに、また保定期間の患者さんにはPMTCと3~6ヶ月間隔のフッ化物イオン導入法を行うこととしました。
また成人患者の方についても、エナメル質がPH5.5、セメント質がPH6.3の領域で脱灰されることに留意して、PMTCとフッ化物イオン導入法を行うこととしました。
現在、矯正患者さんの約7割がカリエスフリーであり、この結果には「パイオキュアー」によるフッ化物イオン導入法が大きく貢献しているものと思っています。
それから、6番萌出時にはSサイズのイオントレーが、また7,8番萌出時にはMサイズのイオントレーの後縁が萌出歯肥厚歯肉にあたり、痛みを訴える患者さんがおられるためイオントレーの後縁部をハサミで切除して使用しています。これについては今後の改善を期待します。
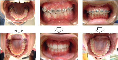
以下症例画像を添付させて戴きます。
